Rev Fac Odontol, Univ Buenos Aires

(2021) Vol. 36. Núm. 82

 

La Operatoria Dental y su Rol en la Rehabilitación Integral. Caso Clínico

Operative Dentistry and its Role in Comprehensive Rehabilitation. Clinical Case

 

Espinoza F1, Zaiden SL2, Lombardo NP2

 

1 Universidad Mayor de San Andrés. La Paz, Bolivia.

2 Universidad de Buenos Aires. Facultad de Odontología. Cátedra de Preclínica Odontología Restauradora. Buenos Aires, Argentina.

 

Título abreviado: Operatoria Dental y Rehabilitación. Caso Clínico

 

Recibido:15/10/2019

Aceptado:10/01/2020

 

RESUMEN

El objetivo del presente informe clínico es describir una manera de lograr resultados predecibles en las restauraciones estéticas, con una rehabilitación integral. Se emplearon distintos materiales, centrados en la nueva generación de materiales cerámicos para la confección de frentes estéticos. Se realizó un diagnóstico seguido de un plan de tratamiento que integró tanto la correcta función como la estética. Se tuvo en cuenta que la responsabilidad estética no se limita sólo a la forma, el tamaño y el color de los dientes, sino que además es importante preservar o recuperar la armonía dentogingival.

Palabras claves: cerámica, rehabilitación oral, frentes estéticos, coronas, carillas.

 

ABSTRACT

The objective of this clinical report is to describe a way to achieve predictable results in aesthetic restorations, with a comprehensive rehabilitation. Different materials were used, focused on the new generation of ceramic materials for making aesthetic fronts. A diagnosis was made followed by a treatment plan that integrated both correct function and aesthetics. It was taken into account that aesthetic responsibility is not limited only to the shape, size and color of the teeth, but that it is also important to preserve or restore dentogingival harmony.

Keywords: ceramic, oral rehabilitation, aesthetic fronts, crown, veneer.

 

 

 

INTRODUCCIÓN

La Operatoria Dental es la disciplina de la Odontología que se dedica a diagnosticar, prevenir y restaurar lesiones, alteraciones o defectos que pueden sufrir las piezas dentarias, para devolver su forma, función y estética dentro del sistema estomatognático, en armonía con el tejido adyacente (Lanata, 2011).

El éxito funcional y estético de cualquier tratamiento odontológico, orientado a una rehabilitación integral, radica en un adecuado diagnóstico, en el que se realiza la evaluación periodontal, la situación endodóntica y restaurativa, el análisis del conjunto oclusal y temporomandibular y la planificación del mismo, así como en una comunicación efectiva entre el paciente y todo el equipo odontológico.

Es importante tener un enfoque interdisciplinario para obtener todas las perspectivas necesarias y así realizar un correcto plan de tratamiento, especialmente cuando se trata de estética (Romeo y Bresciano, 2003).

Como parte de la planificación del tratamiento -que emerge de un correcto diagnóstico, mediante la toma de modelos montados en articulador, radiografías y fotografías-, se deben tener en cuenta los materiales dentales de última generación y sus protocolos clínicos para lograr excelentes propiedades ópticas, así como biomecánica con una longevidad adecuada (Daou y Bresciano, 2015).

Para lograr el éxito de toda rehabilitación, es preciso que se observe la salud gingival y periodontal, además de elaborar un estudio exhaustivo de la oclusión, mediante modelos de estudio montados en un articulador, identificar la presencia o no de hábitos parafuncionales, patrones de desgaste oclusal, esquemas oclusales, relaciones intermaxilares, dimensión vertical, estética dento-facial, entre otros (Davies y Gray, 2001; Thompson y Graddock, 1949).

También se deben tener en cuenta las restauraciones individuales preexistentes y las requeridas (implantes, coronas, inlay-onlays, carillas y restauraciones de inserciones plásticas) con el concepto de mínima intervención y la realización de preparaciones conservadoras para mantener la vitalidad pulpar, de ser posible, de las piezas dentales a tallar (Friedman, 2001).

Para realizar procedimientos menos invasivos, una de las prioridades del profesional durante el tratamiento es conservar la mayor parte de la estructura dental. Es necesario y beneficioso mantener la vitalidad pulpar para prevenir un tratamiento más invasivo que altere el equilibrio biomecánico y, con el tiempo, comprometa el rendimiento de los dientes restaurados (Ritter, 2010).

El propósito de este artículo es describir todos los procedimientos realizados de una manera secuencial, según el diagnóstico y el plan de tratamiento, desde las restauraciones plásticas hasta la integración final de las restauraciones cerámicas parciales y totales, con un riguroso protocolo de fijación con el cual se logró devolver un esquema oclusal adecuado, así como también la estética perdida.

 

CASO CLÍNICO

Paciente de 57 años de edad, de nacionalidad boliviana, acude a la clínica de la Especialidad de Operatoria y Estética Dental de la Facultad de Odontología de la Universidad de Buenos Aires, para realizarse un tratamiento integral de toda su boca.

Su historial clínico indica que se encuentra en buen estado de salud general, sin riesgo sistémico para realizar cualquier tratamiento estomatológico.

Se realiza una evaluación facial y dento-labial junto a los parámetros fonéticos. En el examen facial se observa que la línea bipupilar no coincide con la línea horizontal trazada en el borde incisal de los centrales superiores. La línea media facial con la línea media dentaria no coincide por estar ligeramente desplazada al lado izquierdo las proporciones faciales, el tercio inferior lo tiene disminuido presentando un perfil facial tipo cóncavo.

En el análisis dentolabial no presenta la exposición de las piezas dentarias superiores junto a los labios finos en posición de reposo. Al realizar una posición máxima de sonrisa se observa, junto al labio inferior, la curva incisiva inversa o plana, sin contacto con la línea de sonrisa baja, con la anchura de la sonrisa hasta 2do premolar y el corredor bucal ancho. El plano oclusal aparece inclinado a la derecha con referente a la línea comisural (Figura 1).

El análisis gingival presenta biotipo grueso punteado y rosa, el contorno del margen gingival no tiene paralelismo ni simetría, por lo que no hay un correcto cenit ni papila interdental en la arquitectura del festón gingival.

De acuerdo al análisis dental, la línea inter incisal del maxilar superior con el inferior no coincide con la línea media facial presentando la pérdida de forma y tamaño en el sector anterosuperior con pérdida gradual del color y textura como también ausencia de piezas dentarias 1.7, 2.7, 3.6, 3.7, 4.6 y 4.7, restauraciones fallidas y con endodoncia en piezas 1.5 - 1.6 - 2.6 y lesiones cervicales diagnosticadas como abfracciones en 1.4, 1.5, 2.4 y 4.5 (Figura 2A).

En las radiografías seriadas y en la panorámica, se observan implantes en el sector 3.6 - 4.6 (Figura 2B).

Se obtiene el consentimiento escrito del paciente para la realización del tratamiento y su posterior publicación.

Se realizó terapia básica, profilaxis y refuerzo en la técnica de cepillado, uso de hilo dental y enjuague bucal. Se efectuó la toma de impresiones con silicona de adición para una mayor precisión en los respectivos modelos de estudio y de trabajo, mediante una inducción manual, pulgar intrabucal, se llevó el maxilar inferior a una relación céntrica próxima y se evaluó si presentaba alguna interferencia para la autoinducción y desprogramación neuromuscular. Se confeccionó el Jig de Lucia para tener una referencia intermaxilar dentaria y articular el modelo superior con el inferior en relación céntrica.

Con el arco facial (Elite, BioArt) se tomó el registro del maxilar superior para la transferencia y montaje de los modelos para tener el registro craneomaxilar en el articulador (A7 Plus, BioArt), se efectuó el análisis oclusal, la guía anterior, la dimensión vertical, las líneas y curvas de referencia y las relaciones intermaxilares. (Figura 2C y D).

Se efectuó un primer encerado de diagnóstico tipo sustractivo. Se observó que dicho encerado llevaba a un plan de tratamiento muy invasivo y que requeriría múltiples endodoncias, con la consiguiente complejidad y costo elevado, por lo que se optó por un encerado de tipo aditivo, devolviendo forma y tamaño a las piezas dentarias con el objetivo de valorar las dimensiones que se darán a los dientes anterosuperiores y determinar la dimensión vertical próxima, devolviendo la funcionalidad y estética de las piezas dentarias (Figura 3).

De acuerdo al diagnóstico y el plan de tratamiento, se inició con las restauraciones de inserción plástica de las lesiones cervicales por abfracción, mediante el aislamiento absoluto, se preparó la lesión mediante un asperizado de la superficie con piedra redonda de diamante, grabado selectivo en esmalte con ácido fosfórico al 37% (Condac 37%, FGM), aplicación del sistema adhesivo tipo primer/adhesivo en un frasco (Adper Single Bond 2 /3M ESPE), fotopolimerizado por 20-40 segundos, aplicación de capa de resina fluida con bajo módulo de elasticidad por la mecánica de flexión dentaria (Filtek Z350 Flow, 3M ESPE, St. Paul, MN, USA).

Finalizadas las restauraciones de las lesiones cervicales, se comenzó con el protocolo de la rehabilitación, con las restauraciones de inserciones plásticas directas en el sector antero inferior, devolviendo la anatomía de los bordes incisales con una llave de silicona (putty) (Zetaplusputty, Zhermack) confeccionada a partir del encerado de trabajo de las piezas dentales 3.3, 4.3, 4.2, 4.4 y 4.5, para tener una alineación y nivelación tridimensional de las piezas (Figuras 4 A y B).

Luego se tomó una impresión con silicona por adición (Panasil PuttySoft, Kettenbach) en una cubeta personalizada hecha de acrílico autopolimerizable para transferir la posición de los implantes y la confección de los pilares personalizados sobre los implantes de las zonas 4.6 y 3.6 a partir de los transfer con tornillo pasante (Figura5).

Posteriormente, se proced a la prueba del pilar personalizado junto con el casquete metálico colado para luego realizar la prueba del bizcochado y finalmente obtener el glaseado del laboratorio (Figura 6). Efectuada dicha prueba se proced a la fijación de las coronas metalocerámicas con ionómero vítreo convencional (KetacCem, 3M ESPE, St. Paul, MN, USA).

En el maxilar superior se realizó la preparación dentaria de las piezas 1.6 y 2.6 para incrustaciones estéticas, con el objetivo de devolver la morfología y el plano oclusal.

El material de confección seleccionado para las incrustaciones estéticas de cerámicas fue disilicato de litio (IPS E-max, IvoclarVivadent), por ser ácido sensible, sus partículas de refuerzo son disueltas durante el acondicionamiento con ácido fluorhídrico al 9% creando retenciones micromecánicas para permitir adhesión de las mismas a los sustratos dentarios por medio de adhesión y cemento en base a resina. Se retiran los provisionales y se verifica que las incrustaciones estéticas permanentes tengan una buena adaptación marginal, relación de contacto seguido de la forma y función.

En la pieza dentaria se realizaron procedimientos adhesivos y la incrustación de cerámica, previamente preparada en su superficie interna para la fijación, se cargó el medio en base a resina y se lo llevó al asentamiento pasivo sobre la pieza dentaria, se sostuvo bajo presión y se eliminó el exceso periférico y proximal secuencialmente, se fotopolimerizó por todas las caras, se retiró la goma dique y se hizo un control de los contactos oclusales. El ajuste oclusal se realizó con piedra tronco cónica de diamante de grano fino, se pueden usar tiras de pulir para el exceso proximal, finalizando se alisó la superficie con gomas y pasta de pulido (Figuras 7 A y B).

Siguiendo el plan de tratamiento trazado, se continuó retomando el encerado de trabajo, se generó una llave de silicona transparente (Elite Glass, Zhermack) para transferir las restauraciones plásticas directas con el fin de lograr el aumento de la dimensión vertical para lo cual se realizó una preparación mínimamente invasiva de las piezas 1.4, 1.5, 2.4 y 2.5 y se restauró con incrementos de 2mm de resina fotopolimerizable de alta carga cerámica (Tetric N- Ceram, IvoclarVivandent) usando la técnica de grabado ácido total sobre el esmalte con ácido fosfórico al 37% (Condac 37, FGM), seguido de un lavado profuso con spray y agua para eliminar productos de contaminación de solventes ácidos y fosfatos. Posteriormente, se secó el esmalte con un chorro de aire seco, se colocó el sistema adhesivo de 5ta generación (Adper Single Bond 2, 3M ESPE,) se frotó durante 10 segundos, repitiendo el frotado de dos a tres veces junto a un chorro de aire suave y se fotopolimerizó no menos de 20 segundos con alta energía lumínica.

Establecidas las relaciones verticales y laterales de la mandíbula en relación al maxilar, puede trabajarse sobre las piezas dentarias anteriores con la finalidad de devolver la guía anterior con funcionalidad y estética. Se realizaron llaves de silicona sobre el modelo encerado de diagnóstico que sirve de referencia del plan de tratamiento.

Un paso muy importante es la selección del color, tanto en esmalte como en dentina, ya que es un desafío restaurador lograr una diferencia entre el color inicial del sustrato y el color final deseado. Para la evaluación del color se realizó un mapa cromático. Durante esta evaluación se tomó en cuenta la forma topográfica, la textura de superficie y las caracterizaciones considerando el valor, translucidez, croma y matiz, por el gran facetamiento que presentaba el paciente, se observó el color en incisal y proximal de las piezas dentarias con la escala de color de Vitapan Classical (Figura 8).

Con los principios restauradores de máxima prevención y preservación y mínimo desgaste de estructuras sanas, se procedió a realizar las preparaciones dentarias para coronas individuales de las piezas 1.1 y 2.1, y preparaciones para carillas de las piezas 1.2, 1.3, 2.2 y 2.3, con una guía de silicona para controlar el desgaste. Estas guías confeccionadas sobre el encerado son herramientas simples e imprescindibles para el control y la preservación en la reducción del esmalte. Dos guías fueron confeccionadas de canino a canino, una guía vertical para el control en sentido cervico incisal y otra horizontal para el control del desgaste en sentido mesio distal con cortes en el tercio incisal, medio y cervical (Figura 9).

Terminado el tallado y al tratarse de piezas vitales, se proced a la hibridización de la dentina. El sellado inmediato es recomendable realizarlo después de la preparación de la dentina y antes de la toma de impresión final. Este procedimiento da la ventaja clínica de sellar los túbulos dentinarios que quedaron expuestos tras el tallado, proteger al órgano dentinopulpar, y de esta manera, tratar el barro dentinario producido por el tallado, completar el retiro de restos residuales y evitar la sensibilidad postoperatoria y la contaminación de bacterias en la fase provisional (Magne y Belser, 2004).

La terminación cervical de la preparación y el perfil de emergencia son áreas críticas a ser reproducidas en el modelo de trabajo para la confección de las carillas cerámicas, por lo que se proced a la separación gingival para permitir el acceso del material de impresión al surco gingival, dicha maniobra es mecánica por compresión.

Se insertó hilo sin astringente en el surco gingival de la preparación dental con la técnica de doble hilo (Roeko Retracto Braided 1/0 y 1/000, Coltene) que consiste en empacar el hilo de 1/0 con un instrumento empacador de hilo, ejerciendo una leve presión sobre la encía seguido del hilo de 3/0, se espera 5 minutos para que ocurra la separación gingival, se controla el aislado relativo y se toma la impresión con silicona de adición (President Coltène) con la finalidad de que la silicona de consistencia pesada (putty) busque alejar los tejidos y la pasta de consistencia liviana (light) copie los detalles finos, en un solo paso con cubeta rígida total tipo Rimlock, previo se aplica adhesivo de contacto para aumentar la adhesión de la silicona a la cubeta.

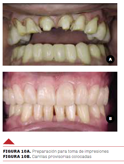
Luego se hizo la toma de registro con el arco facial (Elite, Bio Art) registro intermaxilar y montaje en el articulador semiajustable (A7 Plus, Bio Art), para la provisionalización de las piezas dentarias anteriores se confeccionaron las carillas con resina bis acrílica (Protemp 4, 3M ESPE), se eliminaron excesos y se controló la oclusión (Figuras 10 A y B).

Al regreso del laboratorio, para la prueba de casquetes cerámicos o núcleos semi-opacos de las piezas 1.1 y 2.1, se verificó el ajuste de los casquetes, que tengan una buena adaptación, la terminación gingival en los márgenes, espacio interoclusal y proximal suficiente, se determinó el color de los mismos y se envió al laboratorio para el blindaje y posterior glaseado para la terminación y fijación (Figura 11).

La prueba es imprescindible antes de la fijación de las coronas y las carillas de cerámica pura, donde se evaluará el color, la adaptación marginal y de las relaciones de contacto proximal, el eje de inserción y se controlará la oclusión.

Verificada la adaptación se inició la prueba de color del conjunto de carillas y coronas de cerámica y el medio de fijación en base a resina con pastas de prueba con pigmento Try-In (VariolinkVeener Try-In), que no interfiere en el asentamiento ni en la adaptación de la carilla, dada su fluidez y su hidrosolubilidad, podría eliminarse fácilmente. Este procedimiento permite observar cómo quedará el color al ser fijadas las restauraciones.

Coronas y carillas de cerámica pura ya preparadas, listas para realizar la prueba del asentamiento pasivo (Figuras 12 A-C). Después de hecha la prueba se tuvo la seguridad de que las carillas y el medio de fijación resinoso seleccionado reproducirán el resultado planificado.

Se inició la preparación de los sustratos para ser cementados, siguiendo el protocolo de fijación clínica.

Para la preparación del sustrato cerámico, de acuerdo al orden de la fijación y por ser múltiples carillas y coronas, se preparó masa de silicona pesada por condensación (putty), se insertó en un recipiente de plástico, se presionó ligeramente y se la incluyó en la masa hasta cubrir la parte externa de las carillas y de las coronas, para proteger las superficies externas glaseadas, facilitar su manipulación y evitar el contacto con sustancias acondicionadoras.

Se acondicionaron con ácido fluorhídrico 10% durante 20 segundos, por ser cerámicas de fase vítrea, (disilicato de litio) en la superficie interna de las piezas cerámicas, para generar microporosidades y crear una superficie retentiva, receptiva a la aplicación de vinil sílano y del medio de fijación. Se neutralizó con una solución de bicarbonato de sodio y posteriormente se lavó con abundante spray de aire/agua para eliminar los residuos, se secó con aire la superficie y se aplicó Sílano (Monobond Plus, Ivoclar Vivadent) por 60 segundos, luego se secó con leve chorro de aire; para promover la adhesión entre la cerámica y el cemento a base de resina. Posteriormente, se colocó una capa de resina adhesiva hidrófuga, se eliminaron los excesos y finalmente se colocó el medio de fijación de composite.

En el sustrato dentario se aplicó ácido fosfórico al 37%, respetando el acondicionamiento 15 segundos en esmalte y 10 segundos en dentina, se lavó y secó. De acuerdo al sustrato, se aplicó el sistema adhesivo seleccionado, seguido con un leve chorro de aire y así obtener una película delgada de adhesivo.

Los medios de fijación en base a resina fotoactivados son de elección para la fijación porque tienen menor viscosidad, mayor tiempo de trabajo y estabilidad de color. En este caso se usó como medio de fijación un composite fluido color A3 (IvoclarVivadent), asentada la restauración sobre el diente, los excesos de cemento son removidos con instrumentos, hilo dental y se fotoactivan con la unidad de curado intraoral Led (Optilux 501 , Kerr) por 40 segundos en todas las caras de la pieza dentaria, para finalizar con el pulido y acabado con gomas y copas de silicona dental juntamente con pequeños ajustes en la oclusión, si los hubiera, para lograr el equilibrio oclusal (Figuras 13 A y B).

 

DISCUSIÓN

La rehabilitación integral de la cavidad bucal es un reto clínico que debe alcanzar las expectativas del profesional y del paciente. El uso de diferentes materiales de restauración, técnicas y protocolos clínicos, plantean el desafío de lograr una apariencia estética natural y obtener una correcta biomecánica y función, así como satisfacer al paciente (AlHelal et al., 2017).

En la actualidad, las restauraciones de cerámica pura libre de metal están en auge en la rehabilitación de dientes con tratamiento endodóntico y con grandes pérdidas severas coronales.

Las restauraciones totales metalo-cerámicas han sido usadas con éxito ampliamente descrito en artículos científicos (Friedman, 2001) y a pesar de contar con desventajas como problemas estéticos, todavía son consideradas una buena opción en rehabilitación sobre implantes.

El desarrollo de los materiales cerámicos ha evolucionado constantemente hasta ser los de primera elección en sectores estéticos y como coronas individuales en sectores posteriores ya que poseen una fuerza flexural de 360 a 400 Mpa. A medida que se continúa evolucionando, se introducen nuevos materiales cerámicos con propiedades mecánicas superiores, tales como la alta resistencia a la flexión y a la fractura. Estos materiales, en su mayoría, continúan siendo limitados al sector anterior y en segmentos de poca carga oclusal (Nam et al., 2008), aunque hoy existen en el mercado cerámicas que están indicadas para sectores posteriores y reponen de una a dos piezas, por ejemplo cerámicas de leucita inyectada, disilicato de litio y coronas de óxido de zirconio. Las cerámicas de leucita inyectada están indicadas para carillas delgadas con un espesor de 3mm, carillas, inlays, onlays, vonlays, coronas parciales, coronas unitarias totales anteriores y posteriores, como puentes cerámicos de 3 piezas (solo hasta el 2do premolar), pilares híbridos (cementados sobre una base de titanio). Por otra parte, el óxido de zirconio es usado para restauraciones rígidas unitarias anteriores y posteriores y puede ser revestido por una cerámica vítrea de disilicato de litio o por una cerámica feldespática. (IPS e.max, Guía Clínica).

Aunque los datos precisos sobre las características de desgaste de diferentes materiales cerámicos no están disponibles en la literatura actual, los datos preliminares de un reciente estudio in vitro demuestran que la nueva generación de cerámica es prometedora ya que muestra bajas tasas de desgaste de esmalte in vivo (Fradeani et al., 2012).

Las técnicas adhesivas posibilitan los procedimientos clínicos y de laboratorio, de manera que se pueda ser más conservador en los tratamientos con desgaste severo coronal, obteniendo resultados más previsibles en el tiempo (Vailati y Belser, 2008).

Los sistemas de autograbado tienen la particularidad de contener ácidos orgánicos débiles en baja concentración y monómeros acídicos, que simultáneamente graban e impregnan el sustrato dental. Por tratar el barro dentinario (smearlayer) y la hidroxiapatita, quedan incorporados en la capa híbrida o zona de hibridización obtenida al aplicar estas sustancias. Con este proceso, la infiltración es completa y uniforme, debido a que la desmineralización y la infiltración de la resina ocurren en simultáneo y no hay riesgo de que las fibras colágenas se deshidraten y colapsen, ya que no se requieren las etapas de lavado y secado. Este tipo de adhesivos ayudan al momento de sellar la dentina, inmediatamente después del tallado, ya que luego de este procedimiento queda una amplia zona de dentina expuesta y túbulos dentinarios abiertos que pueden producir sensibilidad dental y daño pulpar.

A este procedimiento se lo conoce como hibridización de la dentina y se lo realiza con un primer como el Clearfil SE®, un adhesivo de 2 pasos, de sexta generación I, contiene 10-metacriloxidecil dihidrogenión fosfato (10-MDP) monómero funcional disuelto en agua con un pH aproximado de 2, el cual interactúa con la dentina superficial produciendo una capa de reacción-integración y su profundidad se encuentra entre 1 um. y 300 um. según su pH, equivalente a la capa híbrida en los adhesivos convencionales de grabado y lavado. Su efectividad clínica se debe a la desmineralización e infiltración simultánea y uniforme de la dentina superficial, creando una capa estable de dentina infiltrada con resina (Spencer y Swafford, 1999). También con el bond de alta carga, como el Optibond FL Adhesive de Kerr, que tiene un 48% de carga, permitiendo que el primer alcance profundidad en el área desmineralizada previamente con ácido fosfórico al 35% y reemplazar los espacios antes ocupados por la hidroxiapatita y fibras de colágeno. Este procedimiento hace que la red de colágeno se estabilice y promueva la evaporación del exceso de agua (Magne y Belser, 2004).

Por otra parte, la preparación dental para una carilla requiere un desgaste de 0,5 a 1,5 mm según los tercios dentales (AlHelal et al., 2017) y es preciso grabar el esmalte para adherir la cerámica pura, tratada previamente con el ácido fluorhídrico y neutralizado, lavado y secado más la aplicación de silano al sustrato dental con ácido fosfórico al 37% y la aplicación del sistema adhesivo, se procede a la fijación de las restauraciones rígidas al sustrato dental y así encontrar naturalidad en la sonrisa. (Magne y Belser, 2004; Thompson y Graddock, 1949)

 

CONCLUSIONES

En la resolución de casos clínicos es de suma importancia realizar una adecuada evaluación de las patologías bucales que presenta el paciente, asimismo un diagnóstico precoz, clínico y radiográfico, para lograr un plan de tratamiento óptimo para su beneficio.

La responsabilidad estética no sólo se limita a la forma, el tamaño y el color de los dientes, sino que un punto importante es preservar o recuperar la armonía dentogingival. Es posible conseguir restauraciones resistentes, perfectamente adaptadas e integradas al sustrato dental de manera natural empleando cualquiera de las diferentes alternativas que brindan los materiales actuales.

Un conocimiento profundo de los protocolos y procedimientos clínicos permitirá al odontólogo aprovechar al máximo la tecnología dental actual para conseguir los mejores resultados posibles, ejecutando a la perfección los protocolos clínicos de las preparaciones dentales y las restauraciones, según el material de confección.

Los resultados obtenidos de la resolución del caso planteado fueron satisfactorios, ya que se logró devolver un esquema oclusal adecuado, recuperando así la función del sistema estomatognático. Desde el punto de vista estético se consiguió lograr una sonrisa en armonía y de aspecto natural en el sector anterosuperior.

 

REFERENCIAS

 

AlHelal A, Bukhari S, Kattadiyil MT, Jekki R y Dahiya A. (2017). Predictable prosthetic space maintenance during staged complete-mouth rehabilitation. J Prosthet Dent, 119(1), 7–11. https://doi.org/10.1016/j.prosdent.2017.03.026

 

Daou EE. Esthetic prosthetic restorations: reliability and effects on antagonist dentition. Open Dent J, 9, 473–481. https://doi.org/10.2174/1874210601509010473

 

Davies SJ y Gray RM. (2001). The examination and recording of the occlusion: why and how. Br Dent J, 191(6), 291–302. https://doi.org/10.1038/sj.bdj.4801169

 

Fradeani M y Barducci G, Bacherini L, Brennan M. (2012). Esthetic rehabilitation of a severely worn dentition with minimally invasive prosthetic procedures (MIPP). Int J Periodontics Restorative Dent, 32(2), 135–147.

 

Friedman MJ. (2001). Porcelain veneer restorations: a clinician's opinion about a disturbing trend. J Esthet Restor Dent, 13(5), 318–327. https://doi.org/10.1111/j.1708-8240.2001.tb01014.x

 

Lanata E. (2011). Operatoria Dental. (2da ed). Alfaomega.

 

Magne P y Belser U. (2004). Restauraciones de porcelana adherida en los dientes anteriores. Quintessence.

 

Nam J, Raigrodski AJ y Heindl H. (2008). Utilization of multiple restorative materials in full-mouth rehabilitation: a clinical report. J Esthet Restor Dent, 20(4), 251–265. https://doi.org/10.1111/j.1708-8240.2008.00188.x

 

Ritter RG. (2010). Multifunctional uses of a novel ceramic-lithium disilicate. J Esthet Restor Dent, 22(5), 332–341. https://doi.org/10.1111/j.1708-8240.2010.00362.x

 

Romeo G y Bresciano M. (2003). Diagnostic and technical approach to esthetic rehabilitations. J Esthet Restor Dent, 15(4), 204–216. https://doi.org/10.1111/j.1708-8240.2003.tb00289.x

 

Spencer P y Swafford JR. (1999). Unprotected protein at the dentin-adhesive interface. Quintessence Int, 30(7), 501–507.

 

Thompson JR y Graddock FW. (1949). Functional analysis of occlusion. J Am Dent Assoc, 39(4), 404–406. https://doi.org/10.14219/jada.archive.1949.0222

 

Vailati F y Belser UC. (2008). Full-mouth adhesive rehabilitation of a severely eroded dentition: the three-step technique. Part 2. Eur J Esthet Dent, 3(2), 128–146.

 

 

CONFLICTOS DE INTERÉS

Los autores declaran no tener ningún conflicto de interés

 

 

Dirección para correspondencia

Cátedra de Preclínica Odontología Restauradora

Facultad de Odontología, Universidad de Buenos Aires

Marcelo T. De Alvear 2142, Piso 12 A, C1122AAH

Buenos Aires, Argentina

preclinica.restauradora@odontologia.uba.ar

 

FIGURAS