Descripción: C:\Users\andrea\Documents\1 REVISTA OJS\anchava\Anchava final_image001.png

Rev Fac Odontol, Univ Buenos Aires

(2021) Vol. 36. Núm. 83 

 

Caries Temprana de la Infancia: Rehabilitación Estética, Funcional e Integral en

Paciente Pre-Escolar. Caso Clínico

Early Childhood Caries: Aesthetic, Functional and Comprehensive Rehabilitation in

Preschool Patient. Clinical Case

 

Anchava J, Chiarello E, Melian K

 

Universidad de Buenos Aires. Facultad de Odontología. Odontología Integral Niños. Buenos Aires, Argentina.

 

Título abreviado: Caries temprana de la infancia

 

Recibido 04/03/2021

Aceptado 03/06/2021

 

RESUMEN

La American Academy of Pediatric Dentistry (2020) define a la caries temprana de la infancia (CTI) como una forma severa de caries de etiología multifactorial que compromete la dentición primaria de niños pre-escolares. Afecta principalmente a los incisivos primarios superiores seguidos de los primeros molares primarios, pudiendo promover el desarrollo de hábitos parafuncionales, reducción de la eficacia masticatoria, pérdida de la dimensión vertical, alteraciones en la fonación y defectos estéticos que causan repercusiones emocionales e impacto psicosocial. La insuficiente cantidad y calidad de estructura coronaria remanente, luego de la eliminación del tejido cariado, puede comprometer la adhesión de los materiales de restauración. El objetivo de este trabajo es presentar la atención y el seguimiento a dos años de un paciente preescolar que presenta CTI, que concurrió para su atención a la Cátedra de Odontología Integral Niños de la Facultad de Odontología de la Universidad de Buenos Aires.

Palabras clave: niño, postes de fibra, coronas, dientes primarios, caries temprana de la infancia

 

ABSTRACT

The American Academy of Pediatric Dentistry (2020) defines Early Childhood Caries (CTI) as a severe form of caries of multifactorial etiology that compromises the primary dentition of preschool children. ECC mainly affects maxillary primary incisors and first primary molars, and it can also trigger the development of parafunctional habits, masticatory insufficiency, loss of vertical dimension, aesthetics defects and speech alterations, all of which have a negative impact on children’s emotional and psychosocial wellness. The insufficient quantity and quality of the remaining coronary structure, after the removal of the carious tissue, can compromise the adhesion of the restorative materials. The aim of the present work is to show treatment and two years clinical follow up of ECC in preschool patient seen at Children's Comprehensive Dentistry Department, School of Dentistry, University of Buenos Aires.

Keywords: child, fiberglass, crowns, primary teeth, early childhood caries.

 

 

 

INTRODUCCIÓN

 

La American Academy of Pediatric Dentistry (AAPD, 2020) define a la caries temprana de la infancia (CTI) como una forma severa de caries de etiología multifactorial que compromete la dentición primaria de niños pre-escolares. Como factores intervinientes se mencionan la educación de los padres o cuidadores, hábitos alimenticios (lactancia materna prolongada a demanda nocturna, frecuencia en uso de mamaderas, consumo frecuente de bebidas o alimentos azucarados), defectos estructurales del esmalte y grupos con bajo nivel socio-económico, entre otros. La CTI se caracteriza por la presencia de una o más piezas primarias con lesiones de caries cavitadas o no, perdidas o restauradas por caries, en niños menores de 6 años. Si la lesión de caries se presenta en caras libres en pacientes menores de 3 años, se considera caries temprana de la infancia severa (CTI-S) (Biondi et al., 2018a; 2018b).

La CTI afecta principalmente a los incisivos primarios superiores seguidos de los primeros molares primarios, pudiendo promover el desarrollo de hábitos parafuncionales, reducción de la eficacia masticatoria, pérdida de la dimensión vertical, alteraciones en la fonación y defectos estéticos que causan repercusiones emocionales e impacto psicosocial (Seraj et al., 2015). Asociado al desarrollo cognitivo acorde a la edad cronológica, los niños suelen ser poco colaboradores con el tratamiento. Su comportamiento es un factor relevante en la situación odontológica (Srinath y Kanthaswamy, 2017).

Las restauraciones estéticas en las piezas del sector anterior son un gran desafío por sus dimensiones acotadas, delgados espesores de esmalte, cercanía al tejido pulpar, reducida superficie de adhesión y elevados costos de tratamiento. En efecto, las características micromorfológicas de las piezas dentarias primarias disminuyen significativamente los valores de resistencia adhesiva obtenidos utilizando sistemas adhesivos convencionales respecto a aquellos obtenidos en dentición permanente (Ortolani et al., 2016).

La insuficiente cantidad y calidad de estructura coronaria remanente luego de la eliminación del tejido cariado puede comprometer la adhesión de los materiales de restauración. En algunas situaciones, se necesita del anclaje intrarradicular para aumentar la retención y estabilizar la corona ante las fuerzas masticatorias (Jeong et al., 2013).

Se han utilizado para ello: alambres de ortodoncia en forma de alfa o gamma, anclajes metálicos preformados, de níquel cromo, polietileno, biológicos, resinas compuestas y fibra de vidrio. El requisito es que no interfieran con la erupción del sucesor permanente (Mehra et al., 2016).

Para restituir la integridad de la corona afectada por CTI se han propuesto coronas: metálicas, metálicas fenestradas, de policarbonato transparente y de color, preformadas de zirconia y de resinas compuestas mejoradas elaboradas en laboratorio. Estas últimas poseen ventajas estéticas. Se pueden pulir y brindan gran satisfacción a los padres, no obstante, la técnica es sensible, pueden generar inflamación gingival y su costo es elevado. (Jeong et al., 2013).  

El objetivo de este trabajo es presentar la atención integral de un paciente de 3 años que presenta CTI-S y su seguimiento a 2 años.

 

CASO CLÍNICO

 

Concurre a la atención a la Cátedra Odontología Integral Niños de la Facultad de Odontología de la Universidad de Buenos Aires, una paciente de 3 años de edad derivada de un consultorio privado. La acompaña su madre quien manifiesta que la niña sufre bullying escolar, motivo por el cual no quiere ir al jardín.

Según su mamá, la niña sufrió traumatismos dentoalveolares en reiteradas ocasiones. Mencionó especialmente una intrusión y posterior re-erupción del sector anterosuperior al iniciar la bipedestación. Alrededor de los 2 años de edad comenzó con las consultas odontológicas debido a la coloración marrón de los incisivos superiores. Durante el ciclo lectivo escolar manifestaba el rechazo de sus pares debido al aspecto de sus dientes, presentó cuadros febriles y de decaimiento, etapa que coincidió con la separación de sus padres.

En las consultas realizadas, no recibió motivación para el tratamiento requerido ni mensajes de salud orientados a la prevención y, ante la falta de colaboración, fue derivada a la cátedra. 

Durante la primera consulta la niña permaneció escondida detrás de su madre, exteriorizando su temor y negándose a sentarse en el sillón. Se trabajó entonces con énfasis en la motivación, teniendo en cuenta su desarrollo psico-emocional. La motivación se basa en la creación de un vínculo de confianza, mostrando y explicando cada procedimiento que se realiza, asistidos con un espejo de mano. Se confeccionó la historia clínica que incluye consentimiento informado.

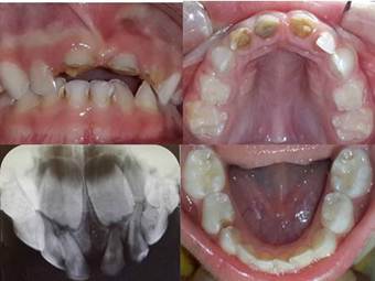
Clínicamente presentaba caries múltiples, fístulas en sector anterosuperior a nivel de 6.1, 6.2 y fractura amelodentinaria de 5.1. La radiografía revelaba ensanchamiento periodontal e imagen radiolúcida a nivel apical de 6.1, y pérdida de sustancia en 5.2, 5.1, 6.1, 6.2 (Figura 1).

Se diseñó e implementó un plan de tratamiento integral e individualizado con alto componente preventivo, indicando medidas preventivas: técnica de cepillado horizontal supervisada, uso de pastas fluoradas de más de 1000 ppm y asesoramiento dietético.

Se inició el tratamiento en el sector anterosuperior considerando el motivo de consulta, tomando impresiones para elaborar un encerado y un sistema de matriz de silicona con el fin de facilitar la ejecución de las restauraciones provisorias de 5.2, 5.1, 6.1, 6.2.

En las piezas 5.2 y 5.1 con diagnóstico de pulpitis irreversible y las piezas 6.1, 6.2 con diagnóstico de necrosis pulpar, se realizaron los tratamientos endodónticos utilizando como material de obturación hidróxido de calcio Calcicur ® (Voco, Alemania), verificando la obturación con una radiografía intraoral para luego crear un tope con ionómero vítreo Ketac Molar (3M ESPE) a 2 mm del límite amelocementario.  

Para las piezas dentarias mencionadas, se seleccionaron cuatro postes de fibra de vidrio secundarios Reforpin ® (Angelus, Brasil), que se colocaron en ácido fosfórico al 37% por 20 segundos; se lavaron y secaron para aplicar, primero, una capa de silano durante 1 minuto y luego, adhesivo single bond 3M ESPE. Posteriormente, fueron personalizados los postes de 5.1 y 6.1 con resina compuesta tipo esmalte A1 Z250 3M ESPE sin fotopolimerizar. En el interior de los conductos se empleó gel de glicerina antes de introducir los postes preparados y se fotopolimerizaron dentro del conducto por 5 segundos y fuera, por 20 segundos más. Se eliminó el gel de glicerina con agua y se aplicó ácido fosfórico al 37% por 15 segundos. Se lavó y secó con puntas de papel absorbente para luego cementar los postes personalizados en 5.1 y 6.1 y los postes convencionales en 5.2 y 6.2 a 2 milímetros del margen cervical con cemento dual ParaCore de Coltène/Whaledent AG (Figuras 2. A y B). Los postes fueron cortados a 3 mm del margen gingival. Se tomó una radiografía postoperatoria para comprobar la altura de los postes. El tallado definitivo fue realizado con piedras troncocónicas de puntas redondeadas de grano azul. La impresión se tomó en un tiempo con silicona por adición putty soft y light body President, Coltène/Whaledent AG. Los provisorios se realizaron con resinas bisacrílicas Cooltemp, Coltène/Whaledent AG utilizando la llave de silicona previamente confeccionada. (Figuras 2. C y D).

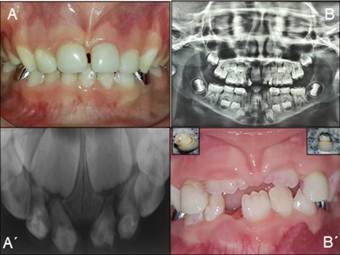
A los 30 días se cementaron de manera definitiva las coronas de cerómero ADORO Ivoclard/Vivadent con Relyx U200 de 3M ESPE. La integridad coronaria en el sector anteroinferior se restituyó con resinas compuestas, y el sector posterior se rehabilitó con coronas de acero elaboradas en laboratorio. Con el objetivo de controlar los procesos de desmineralización – remineralización, se realizó una topicación con fluoruros de alta concentración Clinpro TM White Varnish de 3M ESPE, recitando a la paciente para sus controles clínicos – radiográficos a 1 mes (Figura 3.), 6 meses, 1 año (Figuras 4. A y A´), 2 años del alta integral (Figuras 4. B y B´).

La madre comentó el cambio actitudinal de la niña a partir de la instalación de las coronas provisorias, que generó un impacto estético exteriorizado en el deseo de participar de la actividad escolar promoviendo vínculos sociales.

 

DISCUSIÓN

 

La CTI inicialmente se presenta como manchas blancas o marrones en el tercio cervical de los incisivos superiores. En la etapa moderada, comienza a extenderse a los molares inferiores. En la etapa severa, afecta a los incisivos inferiores. Se clasifica según el grado se severidad y etiología en: Tipo I (lesiones aisladas de caries en incisivos y/o molares y pobre higiene), Tipo II (lesiones vestíbulo linguales que afectan los incisivos superiores y los molares dependiendo la edad del paciente. Está asociada al uso de biberones y/o leche materna combinados, y pobre higiene) y Tipo III (lesiones de caries con las características del tipo I y II, sumando lesiones en incisivos inferiores, en combinación con dieta altamente cariogénica y pobre higiene). En el caso presentado, la paciente sufre el tipo III, puesto que las lesiones de caries involucraron incisivos superiores, molares e incisivos inferiores. (Anil y Anand, 2017)

La American Academy of Pediatric Dentistry (2020) recomienda restauraciones coronarias periféricas en incisivos primarios cuando se presentan caries que comprometen más de una superficie, ángulo incisal involucrado, lesiones cervicales y piezas con tratamientos pulpares.

Debido a las características anatómicas y al avance de la lesión de caries en piezas primarias, el remanente coronario es escaso. Por ello se necesita realizar una retención intrarradicular con un material que también actúe como muñón para lograr anclaje en la futura restauración periférica total.

Mortada y King (2004) y Usha et al. (2007) realizaron retenciones intrarradiculares con alambres de ortodoncia con forma de omega y reconstruyeron la corona con resinas compuestas. La técnica es sencilla, económica y permite alcanzar buenos resultados estéticos, sin embargo, no logran una correcta adaptación a las paredes del canal radicular y se producen fracturas radiculares por fuerzas masticatorias. Ramires – Romito et al. (2000) y Mandroli (2003) optaron por postes biológicos que consistían en piezas dentarias extraídas, talladas y cementadas en el interior de los conductos. Las coronas eran estéticas, pero no respetaban criterios de bioseguridad. Mehra et al. (2016) utilizaron postes de resinas compuestas, obteniendo resultados estéticos aceptables, aunque con riesgo de pérdida de retención y adaptación marginal. Metha et al. (2012) y Mehra et al. (2016) utilizaron postes de fibra de vidrio que poseen un módulo de elasticidad similar al de las piezas dentarias y que distribuyen las fuerzas en mayor superficie aumentando la resistencia. Seraj et al. (2015) in vitro, seleccionaron 60 incisivos primarios, los cortaron a 1 mm del límite amelodentinario, les realizaron el tratamiento pulpar a 1 mm del ápice y los obturaron con hidróxido de calcio en jeringa. Luego desobturaron 4 mm, obturaron 1 mm con hidróxido de calcio fraguable, dejando 3 mm para los postes. Dividieron la muestra en 3 grupos, cementando los diferentes tipos de postes con resinas autoacondicionantes: fibras de cuarzo (G1), postes de composites (G2), postes de fibra de vidrio (G3). Les aplicaron fuerzas para medir la resistencia a la fractura, y concluyeron que no hay diferencias significativas. En nuestra situación, se decidió realizar la personalización de postes accesorios en las piezas 5.1 y 6.1 para reproducir la forma del conducto radicular y mejorar la adaptación, fricción y retención. Se seleccionaron postes accesorios ya que los conductos de los incisivos superiores primarios no se pueden conformar con las fresas de un avío comercial por su forma anatómica y dimensiones. Fueron cementados con un sistema de resina compuesta de doble polimerización reforzada con vidrio, ya que el material simplifica la técnica al permitir tanto el cementado de los postes como la reconstrucción de muñones. Gugnani et al. (2017) presentaron el caso de un paciente masculino de 4 años con lesión de caries en 5.1 donde restituyeron la integridad coronaria utilizando una corona de acetato adaptada rellena con una resina bisacrílica por ser estética y económica, pero concluyeron que necesitaría mayor cantidad de estudios clínicos para evaluar la estabilidad del color y la longevidad de ese tipo de restauraciones. En el presente caso se utilizó una resina bisacrílica para la elaboración de los provisionales por la demanda estética, su buena adaptación marginal y su temperatura de curado de 37° C, evitando sensaciones desagradables y logrando buena aceptación por parte de la paciente. A su vez, se eligieron coronas de cerómero, por ser resinas compuestas de laboratorio de revestimiento de micro-relleno fotopolimerizable y con atemperamiento por calor que permite el pulido y, además, poseen alta estética por sus características de opalescencia y fluorescencia.

La restitución coronaria en sector posterior con coronas de acero es la sugerida por AAPD en situaciones de CTI severa con lesiones proximales.

 

CONCLUSIONES

 

En odontopediatría, la selección de los materiales para restituir la integridad coronaria está sujeta a la valoración de la situación individual en cada paciente, al conocimiento de las características estructurales de los tejidos dentarios primarios y a la utilización de los sistemas adhesivos que mejor se comportan, teniendo en cuenta las dificultades que se presentan en la atención de niños de corta edad.

 

REFERENCIAS

 

American Academy of Pediatric Dentistry. (2020). Policy on early childhood caries (ECC): unique challenges and treatment options. The Reference Manual of Pediatric Dentistry. American Academy of Pediatric Dentistry, 82-3. http://www.aapd.org/media/Policies_Guidelines/P_ECCUniqueChallenges.pdf

 

Anil S y Anand PS. (2017). Early childhood caries: prevalence, risk factors, and prevention. Front Pediatr, 5, 157. https://doi.org/10.3389/fped.2017.00157

 

Biondi AM y Cortese SG. (2018a). Odontopediatría: fundamentos y prácticas para la atención integral y personalizada. (2da ed.). Corpus. p. 207-228.

 

Biondi AM, Cortese SG y Ortolani AM. (2018B). Caries temprana de la infancia en la Ciudad Autónoma de Buenos Aires. Comparación de frecuencia en diferentes ámbitos de atención. Rev Odontopediatr Latinoam, 8(1), 71-5. https://doi.org/10.47990/alop.v8i1.132

 

Gugnani N, Pandit IK, Gupta M y Nagpal J. (2017). Esthetic rehabilitation of primary anterior teeth using temporization material: a novel approach. Int J Clin Pediatr Dent, 10(1), 111-114. https://doi.org/10.5005/jp-journals-10005-1418

 

Mandroli PS. (2003). Biologic restoration of primary anterior teeth: a case report. J Indian Soc Pedod Prev Dent, 21(3), 95-7

 

Mehra M, Grover R, Pandit IK, Srivastava N, Gugnani N y Gupta M. (2016). Management of grossly decayed primary anteriors using various intracanal post systems: a clinical study. J Indian Soc Pedod Prev Dent, 34(3), 199–203. https://doi.org/10.4103/0970-4388.186749

 

Metha D, Gulati A, Basappa N y Raju OS. (2012). Esthetic rehabilitation of severely decayed primary incisors using glass fiber reinforced composite: a case report. J Dent Child (Chic), 79(1), 22–25.

 

Jeong MA, Kim AH, Shim YS y An SY. (2013). Restoration of strip crown with a resin-bonded composite cement in early childhood caries. Case Rep Dent, 2013, 581934. https://doi.org/10.1155/2013/581934

 

Mortada A y King NM. (2004). A simplified technique for the restoration of severely mutilated primary anterior teeth. J Clin Pediatr Dent, 28(3), 187–192. https://doi.org/10.17796/jcpd.28.3.2554xv412644ru13

 

Ortolani AM, Cortese SG y Biondi AM. (2016). Comparación clínica de sistemas adhesivos con grabado selectivo en piezas primarias. Rev Fac Odontol, Univ Buenos Aires, 31(71), 27-33. http://odontologia.uba.ar/wp-content/uploads/2018/06/vol31_n71_2016_art4.pdf

 

Ramires-Romito AC, Wanderley MT, Oliveira MD, Imparato JC y Corrêa MS. (2000). Biologic restoration of primary anterior teeth. Quintessence Int, 31(6), 405-411.

 

Seraj B, Ghadimi S, Estaki Z y Fatemi M. (2015). Fracture resistance of three different posts in restoration of severely damaged primary anterior teeth: An in vitro study. Dent Res J (Isfahan), 12(4), 372–378. https://doi.org/10.4103/1735-3327.161461

 

Srinath S y Kanthaswamy AC. (2017). Different crown used for restoring anterior primary teeth: a review. J Pharm Sci Res, 9(2), 190-193. https://www.jpsr.pharmainfo.in/Documents/Volumes/vol9Issue02/jpsr09021722.pdf

 

Usha M, Deepak V, Venkat S y Gargi M. (2007). Treatment of severely mutilated incisors: a challenge to the pedodontist. J Indian Soc Pedod Prevent Dent, 25(Suppl), S34–S36.

 

 

CONFLICTOS DE INTERÉS

Los autores declaran no tener ningún conflicto de interés.

 

 

 

 

 

 

 

Dirección para correspondencia

Cátedra Odontología Integral Niños

Facultad de Odontología, Universidad de Buenos Aires

Marcelo T de Alvear 2142, piso15 sector B. C1122AAH.

Ciudad Autónoma de Buenos Aires, Argentina

jaanchava@yahoo.com.ar

 

FIGURAS

 

Descripción: C:\Users\andrea\Documents\1 REVISTA OJS\anchava\Anchava final_image002.jpg

Figura 1: Diagnóstico inicial

 

Descripción: C:\Users\andrea\Documents\1 REVISTA OJS\anchava\Anchava final_image003.jpg

Figura 2 A: Anclaje intrarradicular personalizado.

Figura 2 B: Los postes se cementaron en 5.2, 5.1, 6.1, 6.2.

Figura 2 C: Radiografía post-operatoria, donde se comprobó la longitud de los postes.

Figura 2 D: Coronas provisorias de resina bisacrílica

 

Descripción: C:\Users\andrea\Documents\1 REVISTA OJS\anchava\Anchava final_image004.jpg

Figura 3: Alta integral

 

Descripción: C:\Users\andrea\Documents\1 REVISTA OJS\anchava\Anchava final_image005.jpg

Figura 4 A – A´: Control clínico – radiográfico: 12 meses

Figura 4 B: Control radiográfico: 26 meses.

Figura 4 B´: Control clínico: 30 meses.